1. REPASO ANATÓMICO QUIRÚRGICO
1.1. Retroperitoneo
El retroperitoneo, cavidad retroperitoneal o espacio retroperitoneal es la región visceral abdominopélvica, limitada superiormente por el músculo diafragma, inferiormente por el periné, anteriormente por el peritoneo parietal posterior, y posteriormente por la pared posterior del abdomen. Contiene órganos gastrointestinales(porciones descendente, inferior y ascendente del duodeno; cabeza, cuello y cuerpo del páncreas, cara posterior del colon ascendente y descendente junto con las flexuras cólicas, recto y parte del hígado, lumbares (glándulas suprarrenales), urinarios (riñones y uréteres), vasculares (aorta abdominal, vena cava inferior) y osteoartromusculares (cuerpos vertebrales, músculos psoas mayor, ilíaco y cuadrado lumbar, músculo diafragma, huesos de la pelvis y sus articulaciones). Para acceder a esta cavidad quirúrgicamente el abordaje puede ser por la espalda, el costado o a través del
1.2. Aparato urinario
El aparato urinario lo componen los riñones, los uréteres, la vejiga urinaria y la uretra.

Imagen 84. Aparato urinario femenino.

Imagen 85. Aparato urinario masculino.
- Riñones
Son dos órganos retroperitoneales situados a la altura aproximada de la doceava vertebra torácica, aunque el riñón izquierdo suele estar más alto que el derecho. Son de color marronáceo con forma semejante a un haba y con un peso aproximado de 140 gr en el hombre y 125 g en la mujer.
Los riñones son sustentados principalmente por la fascia renal (capa de tejido conjuntivo que refuerza el peritoneo parietal) y la cápsula adiposa (acúmulo blando y fluido de tejido adiposo variable en cada individuo que se encuentra entre el riñón y glándula suprarrenal y la fascia renal).
La estructura renal se compone de una cápsula fibrosa externa (no confundir con la fascia renal) y un parénquima renal interno. En un corte frontal del riñón se puede visualizar en el parénquima dos partes perfectamente diferenciadas, la medula y la corteza renal.
La corteza renal rodea las pirámides renales y las separa entremetiéndose entre ellas formando las llamadas columnas renales.
La medula renal está compuesta por las llamadas pirámides renales (8-10 en cada riñón), que pueden ser independientes o unidas unas con otras. Sus vértices son las conocidas papilas renales y se encuentran en el seno renal. El seno renal es la cavidad cuya abertura coincide con el hilio renal (punto de acceso al seno renal por el que discurren, el uréter abocando en la pelvis renal, y nervios procedentes del plexo renal todo ello formando el pedículo renal) y cuyas paredes las constituyen el parénquima renal. El seno renal contiene los cálices y la pelvis renal, además de los entrantes del parénquima ya comentados (papilas renales). Las vías de excreción del riñón comienzan en el seno renal a través de los cálices renales menores que desembocan en los cálices mayores y estos a su vez confluyen en la llamada pelvis renal, la cual tiene forma de embudo y se va estrechando hasta llegar a la vejiga (en este trayecto desde que sale del seno renal hasta la vejiga recibe el nombre de uréter).

Imagen 86. Anatomía renal.
- Uréter
Conducto que nace de la pelvis renal y desemboca en la vejiga en la porción inferior de la misma en la llamada unión ureterovesical. Miden aproximadamente 25 cm de longitud y 5 mm de diámetro. Están compuestos por tres capas, adventicia, muscular (encargada del peristaltismo que hace descender la orina desde el riñón hasta la vejiga) y mucosa, la cual tiene continuidad inferiormente con la vejiga.

Imagen 87. Anatomía aparato urinario.
- Vejiga
Órgano reservorio que se encuentra en la región pélvica posteriormente a la sínfisis del pubis, y cuando está llena sobresale a la cavidad abdominal. En el hombre se sitúa superiormente al suelo de la pelvis y de la próstata, y anterior y superiormente al recto y a las vesículas seminales. En la mujer lo hará superiormente al suelo de la pelvis y anteriormente al útero y vagina.
En la superficie interna de la vejiga se pueden observar tres orificios, uno anterior y medio que corresponde a la salida de la uretra y otros dos laterales, que son las entradas de los uréteres. La unión de los tres orificios constituye el llamado trígono vesical.
La orina sale de la vejiga hacia la uretra por la acción del esfínter vesical controlado por el sistema nervioso autónomo.
- Uretra
Conducto excretor con origen en la vejiga urinaria hasta su salida al exterior.
o Uretra masculina: además de la excreción de la orina se encarga de dar salida al esperma a través del pene. Mide con el pene flácido entre 16- 18 cm aproximadamente con un diámetro de 7 mm y posee una parte fija (curvatura posterior) y otra móvil (curvatura anterior que desaparece con la erección peneana). La uretra masculina tiene tres porciones, prostática (atraviesa la próstata), membranosa (atraviesa el plano musculofascial del periné) y por último esponjosa (atraviesa el pene).
o Uretra femenina: se extiende desde la vejiga hasta la vulva con una longitud aproximada de 3 cm y un diámetro de 7 mm. Posee dos porciones, una intrapélvica y otra intraperineal. La abertura uretral o meato se sitúa entre los labios cerca del clítoris.
1.3. Aparato reproductor masculino
- Escroto
Bolsa de tejido con varias capas que rodea el testículo y lo protege. Desde la capa más externa que es la piel (escroto en sí) hasta el testículo, podemos encontrar el Dartos, capa celular subcutánea, fascia espermática externa, musculo cremáster, fascia espermática interna y túnica vaginal del testículo.
Excepto la piel que engloba ambos testículos, las demás capas forman n saco particular para cada testículo.
- Testículos
Par de órganos productores de los espermatozoides. Están situados en el exterior, inferiores al pene, el derecho desciende un poco más normalmente, y protegidos por el escroto. Tienen forma ovoide y pesan de media 20 gr. Su color es blanco azulado (túnica albugínea) y son de consistencia firme. Su estructura interna está constituida por los llamados lobulillos testiculares (divididos por los septos) por donde discurren los túbulos seminíferos (producción de testosterona).

Imagen 88. Anatomía testicular.
- Vías seminales
o Túbulos seminíferos rectos: corresponden a la unión de los túbulos seminíferos de cada lobulillo testicular. Hay tantos como lobulillos.
o Red testicular o rete testis: los túbulos seminíferos rectos se unen entre sí en una red de conductos unidos entre sí y alojada en el mediastino testicular.
o Conductillos eferentes: conductos situados posteriores unos a otros y que constituyen la unión entre la rete testis y el epidídimo.
o Epidídimo: conducto contorneado situado sobre el testículo y que se encarga de secretar el líquido seminal. Externamente se divide en cabeza, cuerpo y cola del epidídimo.
o Conducto deferente: de la cola del epidídimo sale este conducto que abocara en la unión entre la vesícula seminal y el conducto eyaculador. Tiene 5 porciones: escrotal, funicular, inguinal, iliaca y pélvica.
o Vesículas seminales: son dos reservorios saculares membranosos que acumulan el esperma entre cada eyaculación. Se sitúan lateralmente en el extremo terminal de los conductos deferentes, entre la vejiga y el recto
o Conductos eyaculadores: van desde la terminación de los conductos deferentes y el origen de las vesículas seminales, hasta la porción prostática de la uretra.
- Próstata
- Masa glandular que rodea una de las porciones de la uretra. Tiene forma de castaña y su tamaño varía entre 25 y 30 mm en el adulto. Se sitúa anterior al recto y posterior a la sínfisis púbica.
- Glándulas bulbouretrales
- También llamadas glándulas de Cowper son dos pequeñas glándulas situadas a la derecha e izquierda de la uretra inmediatamente inferiores a la próstata. Son las encargadas de secretar en la uretra a través de unos conductillos un moco que forma parte del semen.
- Pene
Órgano copulatorio masculino que se suspende superiormente del escoto y anteriormente de a sínfisis púbica. Este compuesto por los órganos eréctiles (cuerpos cavernosos, cuerpo esponjoso y glande o extremo distal del cuerpo esponjoso) y por sus envolturas (piel, Dartos peneano, capa celular y fascia profunda del pene). El glande esta recubierto por una fina capa de tejido llamado prepucio. El pene se fija a la pared abdominal, sínfisis púbica y pubis gracias al ligamento suspensorio del pene.

Imagen 89. Anatomía aparato reproductor masculino.
2. PRINCIPALES TÉCNICAS TRANSURETRALES ENDOSCÓPICAS EN UROLOGÍA
Hay que tener en cuenta que, aunque hagamos esta separación didáctica, en la práctica clínica muchas intervenciones quirúrgicas precisan de más de un abordaje quirúrgico, pudiendo combinar la cirugía endoscópica con la laparoscópica, o la abierta con endoscópica, etc.
Dicho esto, vamos a ver algunos de los procedimientos endoscópicos realizados completamente por vía transuretral más comunes.
2.1. RTU (Resección transuretral)
Técnica quirúrgica indicada para la resección de tejido vesical o prostático, recibiendo el nombre de RTU vesical o RTU prostática. Se realiza a través de un resectoscopio con un asa de corte monopolar o bipolar.

Imagen 90. RTU prostática.
Posición del paciente: litotomía
Anestesia: la anestesia puede ser intradural, sedación o anestesia general.
- Profilaxis antibiótica
- Manta de calor de brazos.
- Vía periférica
- BISS Y TOF si anestesia general.
- Placa de bisturí al paciente si es resección.
Material necesario:
- Equipo de paños de RTU
- Torre de Urología (como la torre de laparoscopia, pero además tendrá incorporado el generador de corte y coagulación del resector. El resector debe ser compatible con el generador). Los más usados hoy en día son los bipolares (Gyrus Plasma-Kinetic (PK)TM, SurgMasterTM de OlympusTM o AF Autocon III 400 de StorzTM, son los que más fácilmente nos podemos encontrar en un quirófano) por ser más seguros para el paciente y por permitir corte y coagulación a la vez.

Imagen 91. Generador de Gyrus Plasma-Kinetic (PK)TM.

Imagen 92. Generador SurgMasterTM de OlympusTM.
- Sonda vesical tipo Couvelair de tres vías y bolsa de diuresis grande (se dejará al paciente con suero lavador después de la intervención para evitar coágulos).
- Sistema de irrigación doble de suero.
- Lubricante estéril.
- Varias jeringas de 10 cc.
- Evacuador de Ellick con conexión hexagonal.
- Funda de cámara.
- Mangos de lámpara.
- 2 cables de aspiración.
- Bolsa de irrigación de suero(bipolar) o glicina(monopolar) en función del resector utilizado.
- Resectoscopio (con todos sus componentes, óptica, obturador, vaina…).
- Cable de luz.
- Cable monopolar o bipolar.
- Asas para el resector (monopolar o bipolar, son diferentes según el generador y resector).
Procedimiento: tras colocar al paciente y pañear, el urólogo monta con la ayuda de la enfermera instrumentista y circulante el resector, y este lo conectan con el sistema de aguas, cámara y aspirador (muy importante controlar las entradas y salidas de líquido). Con todo el material preparado y montado procede a la resección vesical o prostática a través del resector introducido por la uretra. Con las asas del resector extraerá fragmentos disecados de la próstata o de la vejiga que deberán enviar en el envase indicado y correctamente identificados a analizar al laboratorio correspondiente. La intervención suele durar aproximadamente 45 min-1 h y al finalizar el urólogo le dejara al paciente una sonda Couvelair de tres vías puesta para lavado vesical durante las horas posteriores a la cirugía.
Complicaciones potenciales: como os he comentado más arriba, cada vez es más raro ver utilizar el resector monopolar. Esto se debe principalmente a su modo de funcionamiento. El resector monopolar necesita que la corriente pase por el paciente pudiendo provocar dalo al tejido circundante y estimulación nerviosa, y necesita también un medio hipoosmolar para la conducción de la energía. Esto implica la necesidad de poner al paciente una placa de bisturí y la utilización de un sistema de irrigación con glicina al 1,5%.
La reabsorción de glicina puede provocar en el paciente hiponatremia dilucional que puede generar en consecuencia alteraciones del ritmo cardiaco, insuficiencia cardiaca congestiva con colapso cardiovascular, edema cerebral, o edema pulmonar entre otras afecciones.
Los nuevos generadores bipolares no necesitan placa de bisturí porque la propia asa bipolar ejerce de electrodo pasivo y activo, y no necesitan tampoco un medio hipoosmolar, pudiendo irrigar con suero.
*Apunte: La hiperplasia benigna de próstata tiene otra alternativa endoscópica de tratamiento que sería la enucleación por láser + la fragmentación con un morcelador. Todo por vía transuretral. La RTU sigue siendo la técnica más utilizada.
2.2. Uretrotomia
Intervención indicada en los casos de estenosis uretral en los que la dilatación con dilatadores no ha sido lo suficientemente efectiva. Se introduce un Uretrotomo óptica a través de la uretra y por su canal de trabajo se inserta una cuchilla que realiza un pequeño corte en la zona fibrosada o malformada de la uretra que provoca el estrechamiento.
2.3. Cistoscopia (colocación de doble J)
Introducción de un cistoscopio a través de la uretra hasta la vejiga para la exploración de la misma (en busca de tumores, divertículos o cálculos), para la toma de biopsias o colocación de catéteres uretrales (ver modulo 16 donde los tenéis clasificados y explicados).
Suele realizarse de manera ambulatoria, normalmente con cistoscopio flexible porque el paciente lo tolera mejor, ya que normalmente se procede sin anestesia o con anestesia tópica. En algunos casos se realiza antes de una intervención abierta o laparoscópica o de manera combinada en quirófano.
El paciente se coloca en posición de litotomía y se necesitara la torre de “laparoscopia”, cistoscopio rígido o flexible (a elección del cirujano).
En caso de realizarse para la colocación de un catéter tipo doble J el procedimiento y preparación será el mismo que para la RTU, pero en vez del resector se preparará el cistoscopio (normalmente el compacto), hará falta una guía sensor, arco de RX (con funda estéril) y contraste. Tener a mano el catéter de elección del cirujano. Al finalizar la intervención se dejará al paciente sondado con una sonda tipo Dufour por si necesitase suero lavador, pero en principio saldrá sin él (acordarse de poner tapón en la vía de entrada de suero).

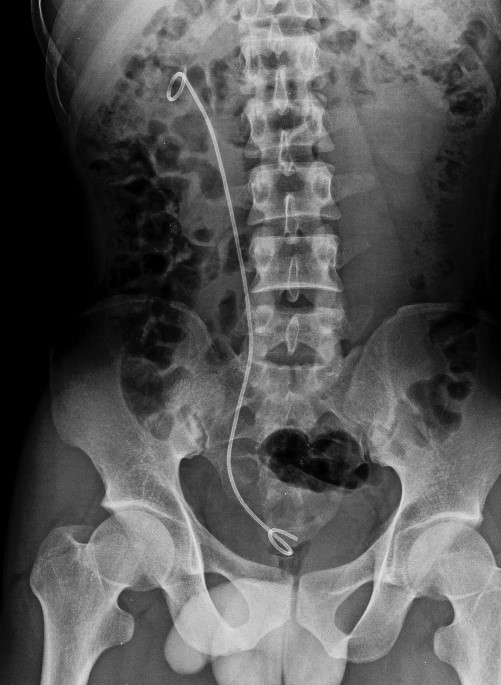
Imagen 93. Colocación de Catéter doble J.
2.4. RIRS (Cirugía intrarrenal retrograda)
Es un procedimiento urológico endoscópico transuretral que permite realizar técnicas quirúrgicas renales sin necesidad de realizar ninguna incisión externa al paciente. Está indicada para la extracción de piedras (cuando la litotricia externa no ha funcionado) o tumores en el riñón.

Imagen 94. RIRS.
Posición del paciente: litotomía
Anestesia: general.
- Profilaxis antibiótica.
- Manta de calor de brazos.
- Vía periférica.
- BISS Y TOF.
Material necesario:
- Equipo de paños de RTU.
- Ureterorrenoscopio flexible y rígido.
- Torre de “laparoscopia”.
- Arco de RX.
- Funda estéril del rayo.
- Contraste.
- Guías (sensor, terumo…).
- Catéter doble J (solo se pone a veces al final de la intervención, no siempre).
- Material de fragmentación (laser YAG con fibra de 200 o LithoclastTM) si la indicación es la litotricia.
- Tener preparadas una pinza de biopsia y pinza de cálculos.
- Balón de dilatación uretral.
- Sistema Irri FloTM de irrigación controlada en la ureteroscopia.

Imagen 95. Sistema de irrigación controlada Irri FloTM de OlympusTM.
- Extractor de cálculos tipo NCircle, NCompass o NForce o NGage. Se utilizan para impedir que migren los cálculos (dispositivos antinmigración).

Imagen 96. Cesta NGageTM de Cook MedicalTM.
- Sonda vesical tipo Couvelair de tres vías y bolsa de diuresis grande (se dejará al paciente con suero lavador después de la intervención para evitar coágulos).
- Sistema de irrigación doble de suero.
- Lubricante estéril.
- Varias jeringas de 10 cc.
- Funda de cámara.
- Mangos de lámpara.
- 2 cables de aspiración.
- Bolsa de irrigación de suero(bipolar) o glicina(monopolar) en función del resector utilizado.
- Cable de luz.
Procedimiento: tras colocar al paciente y pañear, el urólogo monta con la ayuda de la enfermera instrumentista y circulante el ureterorrenoscopio rígido, y este lo conectan con el sistema de aguas, cámara y aspirador (muy importante controlar las entradas y salidas de líquido). Con todo el material preparado y montado procede a la ureteroscopia (rayo + contrate) y se realiza bajo escopia la introducción de la guía sensor a través del uréter hasta la pelvis renal. Se cambia al ureterorrenoscopio flexible para visualizar la pelvis renal. Si la indicación es la litotricia se procede a la misma con la fibra del láser YAGTM o con las varillas del sistema LithoclastTM. Una vez fragmentados los cálculos se procede a retirarlos con las cestas (NCircle, NCompass o NForce o NGage). En ocasiones el urólogo decide dejar puesto un catéter doble J para evitar hidronefrosis.
3 PRINCIPALES TÉCNICAS LAPAROSCÓPICAS, PERCUTÁNEAS Y DE CIRUGÍA ABIERTA EN UROLOGÍA
3.1 Cirugía renal
Nefrectomía
La nefrectomía consiste en la extirpación parcial o total del riñón. La extirpación parcial es menos frecuente y suele practicarse en los casos en que el paciente tiene un solo riñón o la lesión en el riñón afectado es muy pequeña y benigna (no precisa márgenes de seguridad). La nefrectomía total puede ser simple (solo se extirpa el órgano) o radical o también llamada ampliada. Esta nefrectomía radical es la realizada en los casos de cáncer renal y en ella se extirpará además del riñón la glándula suprarrenal, ganglios circundantes y grasa prerrenal.
A continuación, describiremos el procedimiento laparoscópico, el cual podremos extrapolar (posición, anestesia, material en general) a cualquiera de las intervenciones urológicas por vía laparoscópica que aborden el riñón o uréteres.
- Posición paciente:
o Decúbito lateral (lado no quirúrgico) en posición de nefrectomía o Pillet.

Imagen 97. Posición de nefrectomía (catálogo Maquet).
- Anestesia:
o Se realizará anestesia general.
o 3 sueros de Plasmalyte con 3 llaves y alargadera corta en HotlineTM (calentador de sueros).
o Vía venosa de calibre grueso o antecubital (elección del anestesista).
o BIS.
o TNM.
o Profilaxis antibiótica.
o Medias de compresión.
o Manta de calor (bajo paciente) /aparato.
- Material necesario:
o Equipo de paños de cirugía mayor.
o Caja de riñón + caja de laparoscopia.
o Torre de laparoscopia.
o Trócares de 5 mm (1) y 12 mm (1) + 1 vaina de 12 mm y 1 vaina de 5 mm (puede variar según el cirujano, hospital o técnica).
o Aguja verres de 120 mm o trócar de HassonTM.
o Goma de aspiración o aspirador laparoscópico de paquete en caso de no tener la caja uno reutilizable.
o Funda de cámara.
o Mangos de lámpara.
o Equipo irrigador de suero de laparoscopia.
o Suero caliente para el empañamiento de la cámara.
o Cable de insuflación con filtro.
o 2 alforjas de laparoscopia.
o Grapadora de piel.
o Hojas de bisturí.
o Gasas y compresas con contraste.
o Ligasure o Harmonic TM (preguntar al cirujano) laparoscópicos.
o Endo GiaTM (preguntar al cirujano).
o Hem-o-lockTM (preguntar al cirujano).
o EndoclipsTM (preguntar al cirujano).
o EndocatchTM (si hay que extraer pieza o cálculos).
o FlosealTM, Tachosil TM u otro hemostático similar.

Tabla 15. Suturas nefrectomía.
- Técnica quirúrgica: tras la colocación de los trócares y la realización del neumoperitoneo se va diseccionando el riñón con la ayuda del LigasureTM o HarmonicTM y se ligan la arteria, vena y uréter. Se extrae el riñón con la ayuda del EndocatchTM a través de la ampliación del puerto de entrada de uno de los trócares de 12 mm. Finalmente se procede a la hemostasia, lavado y revisión para terminar cerrando los puertos de acceso y colocando un drenaje tipo Jackson pratt en el caso de ser necesario.
Nefrostomía
Técnica quirúrgica percutánea que consiste en la introducción de un catéter de nefrostomía en la pelvis renal abocado al exterior para el drenaje de la orina de manera temporal. La indicación principal es la dilatación de la pelvis renal por obstrucción de un uréter, generalmente a causa de un cálculo. Suele ser una intervención de urgencia.
- Posición del paciente:
o Decúbito supino ligeramente lateralizado con la ayuda de un rodete colocado longitudinalmente bajo la fosa lumbar (posición de Valdivia). También puede hacerse en decúbito prono.
o El paciente elevara el brazo del riñón sobre el que se va a realizar la nefrostomía, ya sea apoyándolo en un arco o sobre el pecho si está consciente.
- Anestesia:
o Habitualmente anestesia local con mepivacaína al 2%.
o En algunos casos es necesaria en pacientes no colaboradores una ligera sedación.
o Monitorización básica (ECG, pulsioxímetro y T/A).
o Profilaxis antibiótica.
- Material necesario:
o Caja de cirugía ambulatoria.
o Un cubremesas y 4 paños pequeños de pegar.
o Dos jeringas de 10 cc.
o Otra Jeringa de 10 ml y aguja azul para infiltración anestésica.
o Ecógrafo con dispositivo para punción guiada con ecógrafo.
o Funda de ecógrafo.
o Aparato de rayos.
o 2 fundas de rayos o una si es completa.
o Set de nefrostomía (tipo y calibre a elección del urólogo).
o Dos cápsulas.
o Suero fisiológico caliente.
o Hojas de bisturí de numero 11 y 15.
o Gasas y compresas.
o Seda de 2/0 de aguja triangular.
o Bote de muestra microbiológica y bioquímica.
o Contraste.
o Bolsa de drenaje.

Imagen 98. Bolsa para nefrostomía con grifo.
- Técnica quirúrgica: Tras colocar adecuadamente al paciente se procede a pintar y pañear el área de intervención. El cirujano aplica la anestesia local y seguidamente realiza un estudio ecográfico de la zona. Se realiza una pequeña incisión en la piel y a su través introduce la aguja hasta la pelvis renal. Comprobada la correcta punción ecográficamente el cirujano retira el fiador de la aguja y extrae muestras de orina para estudio microbiológico y bioquímico. Posteriormente se inyecta a través de la aguja contraste para realizar una pielografía y se introduce una guía metaliza flexible que se enrolla en la pelvis renal. Se retira entonces la aguja y se introduce el catéter de nefrostomía y se retira la guía tras comprobar por fluoroscopia la correcta posición del catéter. El catéter se fija a la piel con una seda de 2/0. Se coloca bolsa de drenaje.
Pielolitotomía
Procedimiento a través del cual se extrae un cálculo localizado en la pelvis renal. Se puede realizar por vía abierta o laparoscópica. Tras la extracción del cálculo se dejará puesto un catéter doble j durante unas 5 semanas y posteriormente se retirará.
Por vía abierta el paciente estar en posición de nefrectomía y anestesia general. Se preparará el material habitual de cirugía mayor abierta y la caja de riñón.
Por vía laparoscópica se preparará al paciente y el quirófano como en la nefrectomía por laparoscopia expuesta más arriba.
Nefrolitotomía percutánea (Mini-Perc)
Técnica quirúrgica para la fragmentación y extracción de cálculos renales mínimamente invasiva. En función del tamaño y alojamiento de dichos cálculos el proceso tiene diferentes variaciones. Normalmente se realiza en dos tiempos, uno transuretral para la colocación de un catéter y otro tiempo percutáneo para la litotricia y extracción del cálculo renal. Se puede realizar con el paciente en posición de litotomía en el primer tiempo y en posición de Valdivia o en prono, en el segundo tiempo, o hacer los dos tiempos en la posición de Galdakao (fusión de la litotomía + valdivia). Se realizará bajo anestesia general. Entre el material específico que necesitaremos para el procedimiento estaría: Nefroscopio, dilatadores Amplatz, método de litotricia (LithoclastTM, LithomasterTM o laser), guía sensor, pinzas percutáneas para extracción de cálculos.

Imagen 99. Nefrolitotricia percutánea.

Imagen 100. Nefroscopio para cirugía percutánea.

Imagen 101. Dilatadores renales AmplatzTM.
Pieloplastia
Consiste en la corrección de una malformación o estenosis de la pelvis renal, habitualmente realizada por vía laparoscópica, aunque puede realizarse por vía abierta.
Por vía abierta el paciente estar en posición de nefrectomía y anestesia general. Se preparará el material habitual de cirugía mayor abierta y la caja de riñón.
Por vía laparoscópica será el mismo procedimiento y preparación de material y del paciente que en la nefrectomía por laparoscópica.
Trasplante renal
3.2. Cirugía de uréteres
Ureterolitomía
Intervención quirúrgica indicada en especial en los cálculos ureterales grandes o impactados durante largo tiempo, en los que han fracasado las técnicas menos invasivas. La ureterolitotomía laparoscópica es una nueva opción de tratamiento como alternativa a la cirugía abierta. Tras la extracción del cálculo se dejará puesto un catéter doble j durante unas 5 semanas y posteriormente se retirará. El procedimiento y preparación del paciente y material será el mismo que la pielolitotomía, pero dirigido al uréter.
Ureterostomía percutánea:
Consiste en introducir un catéter a través de la piel en la pelvis renal, pero a diferencia de la nefrostomía el catéter no se detendrá ahí, sino que avanzará a través del uréter hasta la vejiga, quedando por tanto un extremo en la pelvis renal y el potro en la vejiga. El procedimiento será igual que en la nefrostomía percutánea.
Ureteroplastia
Reparación de una malformación, lesión o corte de uno o dos uréteres. La causa de lesión o corte más habitual es una intervención endourologica o en intervenciones ginecológicas. El tratamiento es de carácter urgente y habitualmente se realiza por vía abierta. Paciente en posición de nefrectomía y anestesia general. Se preparará el material habitual de cirugía mayor abierta y la caja de riñón. Entre las suturas sacar VicrylTM 5/0 para la sutura del uréter.
Una vez reparado el o los uréteres, se dejará un catéter doble j durante al menos un mes para mantener el uréter en la posición correcta y mantener el calibre adecuado durante su recuperación postquirúrgica, luego este catéter se retirará.
3.3. Cirugía de vejiga
Cistolitotomía
Procedimiento para la fragmentación y extracción de los cálculos de gran tamaño alojados en la vejiga a través de una pequeña incisión infraumbilical. Prácticamente en desuso por el desarrollo de técnicas cerradas de litotricia como el láser o el LithomasterTM.
Diverticulotomía
“Los divertículos vesicales son herniaciones de la mucosa a través de la pared muscular de la vejiga urinaria. Según sean su tamaño y localización, los divertículos pueden causar obstrucción ureteral, obstrucción del flujo urinario (vaciamiento vesical incompleto), infecciones recurrentes o reflujo vesicoureteral. Los divertículos vesicales se localizan con mayor frecuencia de manera lateral o superior respecto de los orificios ureterales, ya que son las áreas tisulares de mayor debilidad de la pared vesical” (Diverticulum of the bladder - presentation and evaluation of treatment of 115 cases. Br J Urol 1962;34: 286-98).
Tradicionalmente estos divertículos se resecaban por vía abierta, pero en la actualidad el abordaje de la vejiga es posible por vía transuretral, laparoscópica o incluso mediante la robótica. El método más habitual hoy en día es la cirugía combinada laparoscópica-transuretral. Se colocará al paciente en posición de litotomía para poder realizar los dos tiempos simultáneamente. El abordaje laparoscópico se realizará con 4 trócares (dos de 12 y 2 de 5 mm).
Enterocistoplastia
La enterocistoplastia de aumento consiste en reemplazar una parte de la vejiga por una porción de intestino delgado. Es la indicación para tratar la disminución de capacidad de la vejiga o para trastornos de la contracción de la misma como en pacientes con disfunción neurógena vesical. Dado que es una operación definitiva e irreversible constituyen la última opción de tratamiento para estas patologías.
Tradicionalmente el abordaje de este procedimiento ha sido por vía abierta. Hoy en día su abordaje suele ser laparoscópico o robótico.

Imagen 102. Enterocistoplastia.
Cistectomía radical
Su indicación principal es el cáncer vesical invasivo y la técnica consiste en extirpar en los hombres la vejiga, próstata, vesículas seminales y ganglios circundantes, y en las mujeres la vejiga, útero, trompas de Falopio, parte de la vagina y ovarios.
El procedimiento puede realizarse por vía abierta mediante una laparotomía media infraumbilical, por laparoscopia o con cirugía mínimamente invasiva llamada cistectomía radical laparoscópica asistida por robot o RARC.

Imagen 103. Cistectomía laparoscópica.
Con independencia de la técnica de la cistectomía, posteriormente a la resección, esta cirugía implica la realización de una derivación urinaria.
- Bricker (ureteroileostomia cutánea): derivación urinaria no continente que consiste en abocar los dos uréteres a una porción del intestino delgado con la que seguidamente se realizara una ileostomía.

Imagen 104. Derivación tipo Bricker.
- Urostomía tipo Kock o Barcelona Pouch: técnicas de derivación urinaria continente en la que se crea una neo vejiga con un reservorio ileal, que se aboca al exterior a través de la piel.
- Ureterosigmoidostomía: técnica de derivación urinaria continente a través de la cual se abocan los uréteres al colon sigmoides, orinando el paciente junto con las heces a través del ano.
- Ureteroileouretrostomía o técnica de Studer o derivación ortotópica: técnica de derivación urinaria continente que consiste en crear una neovejiga a través de una porción de asa ileal y esta se anastomosa a la uretra para mocionar a su través.
Cistostomía suprapúbica
Comúnmente conocida como talla vesical, consiste en la inserción de un catéter suprapúbico en la vejiga para drenarla. El abordaje puede ser percutáneo o abierto. La indicación puede variar desde una obstrucción uretral que precisa de un vaciado de urgencia de la vejiga (abordaje percutáneo), a una necesidad de liberar la uretra del drenaje urinario después de ser intervenida quirúrgicamente (abordaje abierto).

Imagen 105. Cistostomía suprapúbica colocada por vía abierta. (Author: Bruce Blaus Blausen.com staff (2014). "Medical gallery of Blausen Medical 2014". WikiJournal of Medicine 1 (2). DOI:10.15347/wjm/2014.010. ISSN 2002-4436.)
El abordaje percutáneo es el más usado y consiste en que el cirujano realiza un pequeño corte con el bisturí del 11 para introducir un catéter con canula y fiador. Una vez dentro el catéter, se extraerá el fiador y la canula y se fijara el catéter con el dispositivo de agarre que viene en el kit. Luego la enfermera conectara el catéter a una bolsa de drenaje urinario. Es una técnica que se realiza con el paciente en decúbito supino y anestesia local.

Imagen 106. Kit CystofixTM de Braun para cistostomía suprapúbica
3.4. Cirugía de próstata
Prostatectomía abierta:existen dos abordajes posibles, perineal o retropúbica (técnica de Millin).
Dada la posibilidad de lesionar los nervios de la zona pudiendo provoca impotencia e incontinencia, el tratamiento de elección por vía abierta de la hipertrofia de próstata es la técnica retropúbica de Millin. Mediante una incisión infraumbilical en el paciente con anestesia raquídea o general y posicionado en decúbito supino con un rodillo debajo de la zona púbica para mejorar la exposición. El material y procedimiento básicos serán como el de cualquier laparotomía. Después de la intervención se dejará al paciente con una sonda de tres luces con lavado continuo.
En los casos de cáncer de próstata, la prostatectomía tanto perineal como suprapúbica ser radical, ampliando la resección a las vesículas seminales y ganglios circundantes.

Imagen 107. Hiperplasia benigna de prostata.
Prostatectomía laparoscópica: puede ser transperitoneal o extraperitoneal (PRETE).
- Posición paciente:
o Decúbito supino, con los brazos pegados al cuerpo y las piernas entreabiertas (la torre de laparoscopia se sitúa entre ellas).
o Ya que el paciente estará en ligero Trendelemburg es conveniente sujetarlo a la mesa vendándole las piernas a las patas de la mesa.
- Anestesia:
o Se realizará anestesia general.
o Asegurarse de poner una alargadera venosa macho-hembra de al menos 50 cm al suero que ira conectada a la vía, con dos llaves de tres vías que queden fuera del campo quirúrgico, ya que los brazos no estarán accesibles al quedar debajo del pañeado quirúrgico.
o 3 sueros de Plasmalyte con 3 llaves y alargadera corta en HotlineTM (calentador de sueros).
o Vía venosa de calibre grueso o antecubital (elección del anestesista).
o BIS.
o TNM.
o Sondaje vesical con Foley de dos luces de pequeño calibre que será sustituida por s.v. de silicona de tres luces al finalizar la intervención.
o Profilaxis antibiótica.
o Medias de compresión.
o Manta de calor de brazos /aparato.
- Material necesario:
o Equipo de paños de cirugía abdominal laparoscópica.
o Caja de riñón + caja de laparoscopia.
o Torre de laparoscopia
o Trócares de 5 mm (1) y 10 mm (1) + 1 vaina de 10 mm (puede variar según el cirujano, hospital o técnica).
o Trócar de HassonTM.
o Goma de aspiración o aspirador laparoscópico de paquete en caso de no tener la caja uno reutilizable.
o Funda de cámara.
o Mangos de lámpara.
o Equipo irrigador de suero de laparoscopia.
o Suero caliente para el empañamiento de la cámara.
o Cable de insuflación con filtro.
o 1 alforjas de laparoscopia.
- Grapadora de piel.
o Hojas de bisturí.
o Gasas y compresas con contraste.
o Sonda rectal.
o Sonda vesical de silicona de tres luces.
o Lubricante urológico.
o Bolsa de drenaje de orina.
o Drenaje tipo Redón.
o Ligasure o Harmonic TM (preguntar al cirujano) laparoscópicos.
o EndoclipsTM (preguntar al cirujano).
o Hem-o-LockTM (preguntar al cirujano).
o EndocatchTM (si hay que extraer pieza o cálculos).
o Covidien Endo Clinch™ II Auto Suture™ Grasper 5 mm.

Imagen 108. Endo Clinch TM.

Tabla 16. Suturas prostatectomía laparoscópica.
- Técnica quirúrgica:
o Técnica transperitoneal: se introduce bajo visión directa el trócar de HassonTM en la cavidad peritoneal y entonces se insufla el CO2 para realizar el neumoperitoneo. Seguidamente se colocan el resto de trócares y se comienza a liberar el peritoneo parietal hasta llegar al espacio de Retzius. Una vez localizada la próstata esta se separa de la uretra, vejiga, vesículas seminales, recto y pedículos vasculares con la ayuda del LigasureTM y los clips endoscópicos. La próstata se extraerá con la ayuda del EndocatchTM. Se colocará entonces una nueva sonda y se reestablecerá la unión entre la vejiga y la uretra. Finalmente se retiran los trócares y se cierran los puertos.
o Técnica totalmente extraperitoneal (PRETE): lo primero es crear un espacio preperitoneal y la colocación del primer trócar. Para ello se realiza una incisión de 15 mm en el pliegue infraumbilical inmediatamente lateral a la línea media y se secciona horizontalmente la fascia del recto anterior para exponer la vaina posterior del recto. Se introduce un trócar por encima de la vaina y se infla bajo visión directa para posteriormente insuflar el co2 y crear el espacio preperitoneal. Tras colocar el resto de trócares se procede a disecar el espacio de Retzius para exponer la vejiga y la próstata en su porción anterior. El cirujano procede entonces a la disección vesical, ligamentos puboprostáticos y de los pedículos prostáticos. Una vez liberada la próstata se extraerá con la ayuda del EndocatchTM. Se colocará entonces una nueva sonda y se reestablecerá la unión entre la vejiga y la uretra. Finalmente se retiran los trócares y se cierran los puertos.
Prostatectomía laparoscópica asistida por robot
3.5. Cirugía de pene
Reparación de fimosis(circuncisión)
La fimosis es la imposibilidad de retraer el prepucio más allá del glande. La técnica quirúrgica indicada es la circuncisión. También estaría indicada para la parafimosis, imposibilidad de retornar el prepucio a su posición normal (se queda detrás del glande estrangulándolo).

Imagen 109. Tipos de fimosis.
La circuncisión es una intervención quirúrgica muy sencilla que se realiza en el adulto con cirugía local y en el niño con sedación. El paciente estará en decúbito supino y se necesitará una caja de cirugía ambulatoria (prácticamente solo se usará la tijera fina, bisturí y porta) y suturas de absorción rápida de 4/0. Luego suele ponerse un linitulTM bien impregnado de BetadineTM gel.

Imagen 110. Circuncisión.
3.6. Cirugía testicular
Varicocelectomía
El varicocele es la dilatación de las venas del cordón espermático que drenan el testículo. La causa normalmente suele ser un mal funcionamiento de las válvulas de dichas venas, aunque puede darse también por compresión tumoral. El 98 % de los varicoceles causados por el mal funcionamiento valvular se localizan en el testículo izquierdo. Normalmente no dan síntomas y el tratamiento es conservador, sin embargo, si el paciente presenta sintomatología la indicación es quirúrgica.
La Varicocelectomía consiste en ligar las venas mal funcionantes. Es una intervención menor que se realiza con anestesia intradural y con el paciente en decúbito supino. El abordaje más habitual es inguinal. Preparar caja de cirugía ambulatoria (es posible que se necesite instrumental de paquete a elección del cirujano), drenaje Penrose, ligaduras, suturas absorbibles.
Existe la posibilidad de embolizar las venas afectadas mediante radiología intervencionista.

Imagen 111. Variocele.
Orquidopexia
Entre un 3-4% de recién nacidos a término presentan criptorquidia (testículo no descendido a su posición) siendo este porcentaje mayor en prematuros. Si para los 6- 12 meses de edad el testículo o testículos no han descendido se les realiza una Orquidopexia.
La Orquidopexia es la fijación del testículo a la pared escrotal. Esta intervención también se realiza en las torsiones testiculares que tras destorsionar el testículo este sigue siendo viable y se debe fijar para que no se vuelva a torsionar.

Imagen 112. Criptorquidia. (Lo que el pediatra debe saber sobre criptorquidia | SEPEAP - Sociedad Española de Pediatría Extrahospitalaria y Atención Primaria)
Orquiectomía
Extirpación quirúrgica de uno o los dos testículos. Las causas más comunes son la torsión testicular cuando la isquemia se ha prolongado demasiado tiempo y el testículo no es viable, y el carcinoma testicular o por metástasis del carcinoma prostático.
La técnica consiste en realizar una pequeña incisión en el escroto e ir haciendo disección roma del testículo. Posteriormente se pinzan, cortan y seguidamente se ligan los vasos espermáticos y el conducto deferente. Tras extraer la pieza y mandarla a anatomía patológica se cerrará el escroto con una sutura absorbible.
El paciente estará en decúbito supino y se procederá con anestesia raquídea o general. La caja de instrumental será una disección fina y se sacará algún Clamp vascular de paquete si lo pide el cirujano.

Imagen 113. Cáncer testicular.

Imagen 114. Torsión testicular.
Vasectomía
Técnica quirúrgica de esterilización que consiste en cortar una pequeña porción de los conductos deferentes y los extremos se coagulan dejan girados y ligados.
Es una intervención menor que se realiza con anestesia local y con el paciente en decúbito supino. La caja a preparar seria la disección fina y suturas absorbibles para cerrar el escroto.
La vasovasostomía sería la anastomosis de los conductos deferentes cortados con el fin de revertir la vasectomía.

Imagen 115. Vasectomía.
Hidrocelectomía
El hidrocele es la acumulación de líquido excesiva entre las capas parietal y visceral de la túnica vaginal del testículo. Puede darse en la etapa pediátrica (causa congénita) o adulta (desequilibrio entre la secreción y la absorción).
La técnica quirúrgica se realiza con anestesia local (lidocaína al 1% habitualmente) en la etapa adulta, a diferencia de lo realizado en pediatría, donde deberá hacerse con el niño sedado. El paciente estará en posición decúbito supino y se usará una caja de cirugía ambulatoria fina, en algunos centros se llama caja de disección fina.
El cirujano realiza una pequeña incisión escrotal de unos 3 cm y va diseccionando las capas escrotales hasta llegar al hidrocele, entonces lo pinchara (enfermera con el aspirador preparado para aspirar el contenido que salga) y posteriormente disecara el saco. Otra modalidad consiste en evertir los bordes del saco y suturarlos (puntos sueltos absorbibles) en toda la circunferencia de la túnica vaginal en vez de extirparlo. Finalmente se suturarán todas las capas escrotales con sutura absorbible y se le pondrá un suspensorio al paciente. Si se opta por la resección del saco, se suele dejar un drenaje Penrose finito.

Imagen 116. Hidrocele.
1.3.7. Cirugía uretral
Dilatación uretral
Mediante la introducción de bujías, sondas o dilatadores se ira ensanchando la uretra que presenta un estrechamiento patológico.

Imagen 117. Dilatadores uretrales.
Uretrotomía
Si la dilatación no ha sido lo suficientemente efectiva será necesario realizar un pequeño corte en la zona fibrosada o malformada de la uretra que provoca el estrechamiento. El procedimiento como hemos visto más arriba se realiza por vía endoscópica transuretral con el Uretrotomo óptico, o en su defecto con un uretrotomo sin óptica.

Imagen 118. Uretrotomo convencional (sin óptica)
Reparación de hipospadias
Defecto congenio muy frecuente que consiste en uno desarrollo incompleto de la uretra, lo que provoca un acortamiento uretral y desplazamiento del meato. Dependiendo de la gravedad precisara de una o más intervenciones quirúrgicas en la infancia.

Imagen 119. Hipospadias no corregido en varón adulto.
BIBLIOGRAFÍA
- Manejo perioperatorio de feocromocitoma y paraganglioma - Medwave) Medwave 2020;20(2):e7830 doi: 10.5867/medwave.2020.02.7830
- Técnica quirúrgica adrenalectomía derecha por laparoscopia (Adrenalectomía derecha laparoscópica en decúbito lateral. Técnica. | aecirujanos.es)
- Patología y cirugía de las glándulas tiroides y paratiroides. ISBN: 978-84-8198-935-9 (SEORL PCF Sociedad Española de Otorrinolaringología y Patología Cérvico-Facial)
- Cirugía de las glándulas paratiroides. P. Casas Rodera, J. Galindo Delgado-Ureña. R. Bernáldez Millán. Sitio web. Disponible en: https://seorl.net/PDF/cabeza%20cuello%20y%20plastica/144%20-%20CIRUG%C3%8DA%20DE%20LAS%20GL%C3%81NDULAS%20PARATIROIDES.pdf
- Casanova D.. Cirugía mínimamente invasiva de tiroides y paratiroides. Anales Sis San Navarra [Internet]. 2005 [citado 2021 Abr 19] ; 28( Suppl 3 ): 103-108. Disponible en: http://scielo.isciii.es/scielo.php?script=sci_arttext&pid=S1137-66272005000600012&lng=es.
- ANATOMÍA Y FISIOLOGÍA DEL ESÓFAGO Ortiz Gil EM*, Granado Corzo SC*, Mesa Marrero M. Disponible en. INTRODUCCIN (seorl.net)
- Arín A., Iglesias M.R.. Enfermedad por reflujo gastroesofágico. Anales Sis San Navarra [Internet]. 2003 Ago [citado 2021 Mayo 05] ; 26( 2 ): 251-268. Disponible en: http://scielo.isciii.es/scielo.php?script=sci_arttext&pid=S1137-66272003000300008&lng=es.
- Pagán Pomar A., Palma Zamora E., Ochogavia Segui A., Llabres Rosello M.. Tratamiento quirúrgico laparoscópico en la hernia de hiato mixta: Resultados peroperatorios y del seguimiento a medio plazo. Rev. esp. enferm. dig. [Internet]. 2009 Sep [citado 2021 Mayo 05] ; 101( 9 ): 623-627. Disponible en: http://scielo.isciii.es/scielo.php?script=sci_arttext&pid=S1130-01082009000900005&lng=es.
- Fuduplicatura de Nissen en 10 pasos. Funduplicatura Nissen en 10 pasos | aecirujanos.es
- Laparoscopia colorrectal. Asociación andaluza de cirujanos. Vol. 19, núm. 4. diciembre de 2008
- Roig-García, José, et al. «Esofagectomía transtorácica y transhiatal mediante técnicas mínimamente invasivas. Experiencia en 50 pacientes». Cirugía Española, vol. 83, n.o 4, abril de 2008, pp. 180-85. DOI.org (Crossref), doi:10.1016/S0009-739X(08)70544-X.
- Tratamiento quirúrgico del cáncer gástrico». Gastroenterología y Hepatología Continuada, vol. 10, n.o 4, julio de 2011, pp. 155-58. DOI.org (Crossref), doi:10.1016/S1578-1550(11)70035-3.
- C. Arvieux, F. Reche, P. Breil, C. Létoublon,Traumatismos del bazo. Principios de las técnicas y tácticas quirúrgicas, EMC - Técnicas Quirúrgicas - Aparato Digestivo, Volume 25, Issue 3,2009, Pages 1-18, ISSN 1282-9129, https://doi.org/10.1016/S1282-9129(09)701308.
- Fariña Pérez L.A., Pesqueira Santiago D., Meijide Rico F., Zungri Telo E.R.. Ureterolitotomia laparoscópica de un cálculo de uréter iliaco olvidado durante más de ocho años. Actas Urol Esp [Internet]. 2006 Feb [citado 2021 Jun 01] ; 30( 2 ): 218-221. Disponible en: http://scielo.isciii.es/scielo.php?script=sci_arttext&pid=S0210-48062006000200016&lng=es.
- Chiva Robles Vicente, Escalera Almendros Carlos, Pascual Mateo Carlos, Rodríguez García Nuria, García Tello Ana, Berenguer Sánchez Antonio. Pielolitotomía laparoscópica. Arch. Esp. Urol. [Internet]. 2006 Mar [citado 2021 Jun 01] ; 59( 2 ): 175-178. Disponible en: http://scielo.isciii.es/scielo.php?script=sci_arttext&pid=S0004-06142006000200008&lng=es.
- Castillo O.A., Bolufer E., López-Fontana G., Sánchez-Salas R., Fonerón A., Vidal-Mora I. et al . Prostatectomía simple (adenomectomía) por vía laparoscópica: experiencia en 59 pacientes consecutivos. Actas Urol Esp [Internet]. 2011 Ago [citado 2021 Jun 01] ; 35( 7 ): 434-437. Disponible en: http://scielo.isciii.es/scielo.php?script=sci_arttext&pid=S0210-48062011000700010&lng=es.
- Rouvière, Henri, et al. Anatomía humana: descriptiva, topográfica y funcional. Masson, 2009.
- Fuller, Joanna Ruth. Instrumentación quirúrgica: principios y práctica. Panamericana, 2012.
- G. Ibarluzea González D. Pérez Fentes M. Gamarra Quintanilla L. Llanes González A. Juarez Soto. Manual práctico de cirugía renal en supino.
- Grégoire Roberto, Nicolas Barry Delongchamps. Vejiga: Catéter suprapúbico (elsevier.com)
- Escalera Almendros Carlos, Chiva Robles Vicente, Pascual Mateo Carlos, Rodríguez García Nuria, Berenguer Sánchez Antonio. Prostatectomía radical laparoscópica transperitoneal. Arch. Esp. Urol. [Internet]. 2005 Dic [citado 2021 Jun 03] ; 58( 10 ): 1055-1060. Disponible en: http://scielo.isciii.es/scielo.php?script=sci_arttext&pid=S0004-06142005001000009&lng=es.
- Peña González, Juan Antonio, González Sala, José Luis, García Rojo, Darío, Prera Vilaseca, Angel, Hannaoui, Naim, Vicente Palacio, Eduardo, Abad Gairin, Carlos, Graells Batet, Assunció, Descalzo Abad, Mª Concepción, Prats López, Joan, PROSTATECTOMÍA RADICAL LAPAROSCÓPICA EXTRAPERITONEAL. EXPERIENCIA PRELIMINAR. Archivos Españoles de Urología [Internet]. 2005;58(9):937-946. Recuperado de: https://www.redalyc.org/articulo.oa?id=181013924011
- Síndrome post resección transuretral. Mariano Syed. Disponible en: Síndrome post resección transuretral - AnestesiaR
- Amón J.H., Cepeda M., Conde C., Alonso D., González V., Martínez-Sagarra J.M.. Cirugía retrógrada intrarrenal (CRIR): Complemento técnico para casos con excesiva carga litiásica. Actas Urol Esp [Internet]. 2011 Feb [citado 2021 Jun 16] ; 35( 2 ): 108-114. Disponible en: http://scielo.isciii.es/scielo.php?script=sci_arttext&pid=S0210-48062011000200010&lng=es.
- Garrido Abad Pablo, Fernández González Inmaculada, Coloma Del Peso Almudena, Jiménez Gálvez Milagros, Herranz Fernández Luis Miguel, Mora Durban Miguel et al . Dispositivos antimigración durante la litotricia endoscópica con láser de holmium: YAG. Arch. Esp. Urol. [Internet]. 2008 Nov [citado 2021 Jun 17] ; 61( 9 ): 1115-1125. Disponible en: http://scielo.isciii.es/scielo.php?script=sci_arttext&pid=S0004-06142008000900023&lng=es.
- Fuller, Joanna Ruth. Instrumentación quirúrgica: principios y práctica. Panamericana, 2012.
